【ニュースレターが届かない場合】無料会員の方でニュースレターが届いていないというケースが一部で発生しております。
届いていない方は、ニュースレター配信の再登録を致しますので、お手数ですがこちらのリンクからご連絡ください。

医師たちがWHOに反論 mRNAワクチンが損傷を引き起こす「反論の余地のない証拠」

2022/10/16
更新: 2022/11/15

2人の微生物学者が『mRNA(メッセンジャーRNA)ワクチンによる血管・臓器障害:因果関係の否定できない証拠』と題する研究論文を発表したところ、Health Feedbackは異論を唱える記事を発表した。これを受けて、微生物学者らは追記した論文を発表し「提示した証拠に実質的に触れることを避けている」と論じ返した。

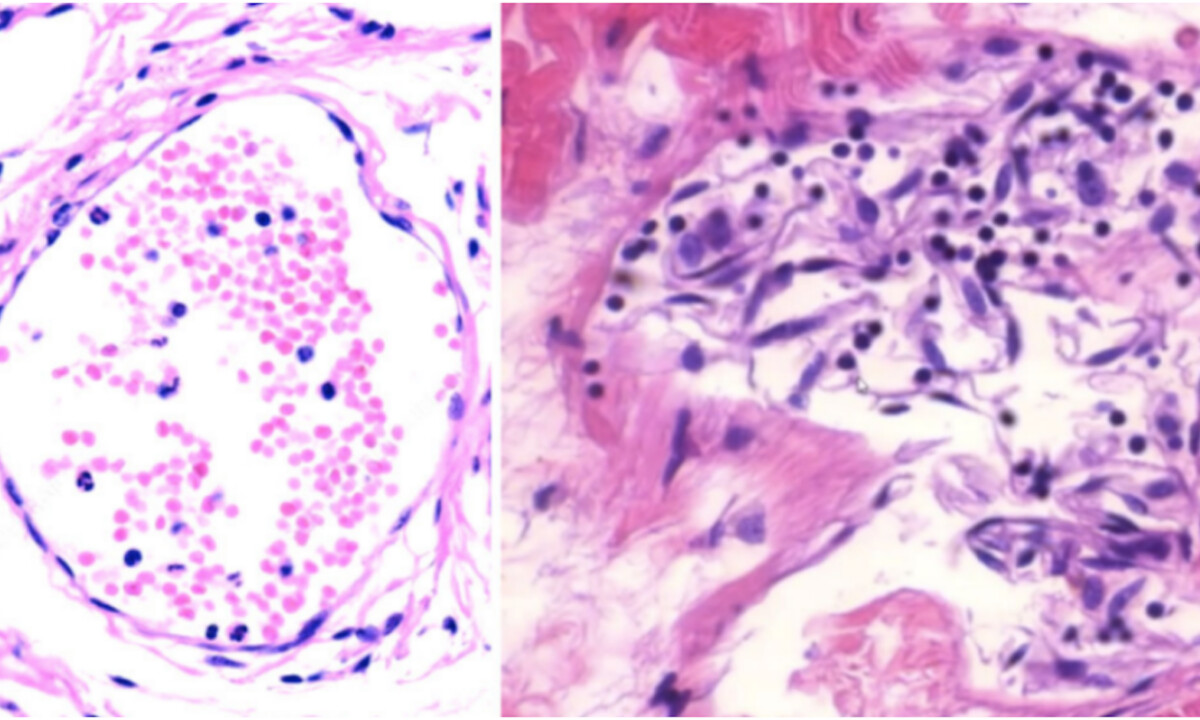
微生物学者のマイケル・パーマー博士とスチャリット・バクディ博士(Dr. Michael Palmer and Dr. Sucharit Bhakdi)は8月、mRNAワクチンが血管や臓器の損傷を引き起こすという「反論の余地のない因果関係」を発見したとする論文を発表した。

両氏の論文はドイツの病理学者アルネ・ブルクハルト博士(Dr. Arne Burkhardt)とウォルター・ラング博士(Dr. Walter Lang)の知見に基づくもので、ワクチンによって誘発されたスパイクタンパク質の発現は、自己免疫反応により引き起こされる炎症に類似した症状を誘発し、時には致命的な結果をもたらすことがあると述べていた。

これに対して、世界保健機関(WHO)が主導するVaccine Safety NetメンバーのHealth Feedbackは9月3日、「コロナワクチンがスパイクタンパク質の長期的な発現を引き起こすことを示す証拠はない」などと反論する科学編集者カルバロ-カルバハル博士(Dr. Carballo-Carbajal)の記事を発表。

これを受けて、パーマー氏らは複数の専門家らの論文を引用し反論した。エポックタイムズの取材に対して、「科学的メリットのない不当な攻撃だ」と述べた。

エポックタイムズは、Health Feedbackにコメントを求めたが、本記事掲載までに返答は得られなかった。

 

脂質ナノ粒子の分布

Health Feedbackは、反論する内容として、脂質ナノ粒子の分布を挙げた。

Health Feedbackは「パーマー氏とバクディ氏は、ファイザー社が日本の規制機関である医薬品医療機器総合機構(PMDA)に提出した生体内分布データを引用して、『ワクチンは速やかに体内を循環する』という主張を裏付けている。しかし、ファイザー社のデータは、実際には脂質ナノ粒子の大部分が注射部位に留まり、他の組織に移動するのはごくわずかであることを示している。そのため、この主張は誤解を招くものだ」と述べた。

さらに「ファイザー社が提出した技術文書の5ページと6ページには、投与された脂質ナノ粒子のほとんど(52.6%)が接種後、注射部位に1時間留まり、接種8時間後に18.1%が肝臓に移動したことが示されている」と付け加えた。

この主張に対して、パーマー氏とバクディ氏は次のように述べた。

「(Health Feedbackは)2時間後にはその値が(接種1時間後の52.6%から)約3分の1以下にまで低下していることに触れていない。加えて、このデータ全体の問題点は、すべての臓器を合わせた合計が決して100パーセントにならないことである」「このような測定の技術的な難しさを考慮すれば、これは予想されることだ」

さらに、両氏は動物実験で使われたネズミよりも人間の方が結果ははるかに変動しやすいと主張。その上で「新陳代謝が高い若いアスリートの三角筋への(ワクチン)接種は、筋肉量が減った高齢者への接種よりも、かなり高い全身分布をもたらすはずだ」と付け加えた。

「ワクチンのかなりの部分が体内に取り込まれ、スパイクタンパク質の発現やそれに伴う臓器障害を引き起こす可能性があると想定しなければならない」と述べ、これが問題の核心だと強調した。

 

スパイクタンパク質の発現

また、ワクチン接種後、スパイクタンパク質が人体内で発現する期間も議論の焦点となった。

Health Feedbackは、mRNA コロナワクチンがスパイクタンパク質の「長期的な発現」を引き起こすことを示す証拠はないと述べている。

「コロナワクチンのmRNAが長期にわたって体内に留まるという考えは、科学的根拠のない俗説だ。コロナmRNAワクチンは、SARS-CoV-2のスパイクタンパク質を生成するための遺伝子命令を筋肉細胞へ送り込む。したがって、将来ウイルスが(体内に)侵入した際に、ウイルスを認識し、より迅速に反応するように免疫系を訓練する」とHealth Feedbackは述べた。

パーマー氏らは、これに対して異論を呈した。「『俗説』は、実際には確かな証拠によって裏付けられている。mRNAと、そこから発現するスパイクタンパク質は、レルトゲン研究員(Katharina Röltgen)らによって接種後60日間、接種部位付近のリンパ節に留まっていたことが実証されている」

さらに「注射部位から離れた骨格筋組織におけるワクチンmRNAの長期的な発現はマーゲン氏(Prof.Eli Magen)らによって報告された」「血流中のスパイクタンパク質の長期的な発現はバンサル博士(Dr.Sandhya Bansal)らによって確認されている。従って、免疫組織化学によるブルクハルト博士のスパイクタンパク質の長期持続発現の検出は、利用可能な証拠の全体像に合致する」と述べた。

Epoch Times記者。NYCエリア担当。